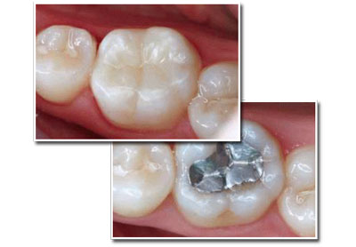
OPERATORIA

Es aquella especialidad que se preocupa de reparar las piezas dentales, que por alguna razón han sufrido algún deterioro o daño, generalmente causados por caries y/o fracturas. (Calzas blancas o grises, bases, óxidos, etc.)